Urgencias:

Telefono:
De México (222) 237 67 08
De USA 01152 (222) 2376708

Urgencias:

De México (222) 240 47 47
De USA 01152 (222) 2404747



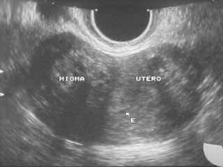
Que es una Embolización de mioma uterino?

El mioma uterino es el tumor benigno más frecuente en mujeres, está presente, con o sin síntomas, en una de cada tres mujeres. Se desarrolla dentro o pegado a la pared del útero. Consiste en la proliferación anormal de células musculares del útero (mioma), a veces acompañada de proliferación de fibras del tejido conectivo del útero (fibroma).
El mioma uterino es una masa de tamaño variable, desde 1-2 centímetros de diámetro hasta varios kilos de peso, redondeada y de consistencia firme elástica, que aparece dentro del útero. Puede ser único o múltiple. Crece, en parte, por acción de los estrógenos, u hormonas sexuales femeninas, y puede llegar a alcanzar un tamaño enorme.

Más de un tercio de los miomas no dan síntomas. Los síntomas iniciales pueden ser cualquiera de los siguientes:

-Sensación de plenitud ó presión en el bajo abdomen.
-Hemorragia o flujo no relacionados con la menstruación.
-Dificultad ó dolor al orinar.
-Dolor en el área de la pelvis.
-Aumento del perímetro (tamaño) abdominal.

En la Embolizacion de miomas se utilizan coils desprendibles, los coils se pueden usar para bloquear el flujo de sangre a un área afectada o de interés; en este caso el ó los miomas, es un procedimiento que debe realizarlo un medico radiólogo intervencionista. La Embolización de miomas uterinos es una procedimiento mínimamente invasivo, seguro y eficiente que alivia los síntomas; reporta los siguientes beneficios:

- La duración del tratamiento oscila entre una y dos horas aproximadamente.
- Se realiza bajo anestesia local y sedación.
-Trata de una sola vez todos los miomas.

Mioma Uterino

Regreso a Servicios.